CLINICA DE ESTÉTICA DENTAL LÁSER. Dr. Joaquín García Rodriguez. DR. JOAQUIN GARCÍA RODRIGUEZ
CLINICA DE ESTÉTICA DENTAL LÁSER.          Dr. Joaquín García Rodriguez.                                              DR. JOAQUIN GARCÍA RODRIGUEZ

PERIODONTITIS Y REHABILITACIÓN IMPLANTOSOPORTADA.PIORREA.

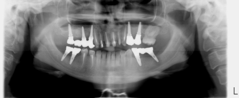
ENFERMEDAD PERIODONTAL AVANZADA . REHABILITACIÓN CON IMPLANTES.

REHABILITACIÓN IMPLANTOSORTADA CERAMOMETÁLICA. POSEXTRACCION

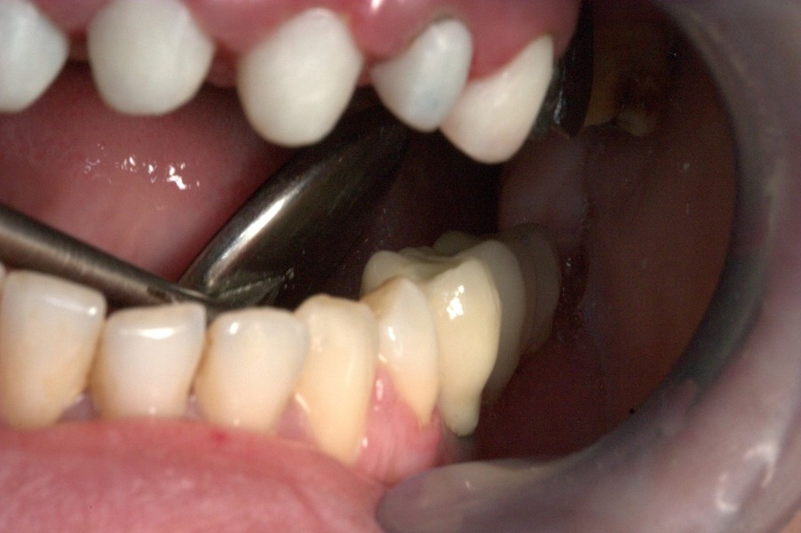
RETRACCIÓN GINGIVAL PERIMPLANTARIA E INJERTO CONECTIVO.

REHABILITACIÓN ESTÉTICA Y PLASTICA PERIODONTAL.

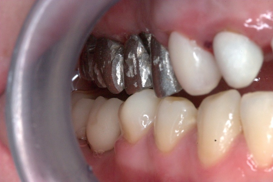
Paciente afectada de Enfermedad Periodontal Avanzada, en ambos maxilares.

En el maxilar superior, perdida ósea vertical generalizada de más de 5 mm, movilidad grado I y grado II.

Tinciones melánicas en la encía.

En maxilar inferior , enfermedad periodontal avanzada del adulto, con perdida de inserción ósea y ligamentosade 5 mm en casi todas las piezas  a excepción de las piezas31 y 41 incisivos  inferiores, con recesisón gingival de atkins y sullivans grado 2.Con defecto vertical superior a 7 mm.

 

Plan de tratamiento.

Maxilar Superior.

Tratamiento de la enfermedad Periodontal. Con cirugías periodontales de Widman modificado por la técnica de Ramfjiord por cuadrantes, Raspajes curetajes y alisado radicular.

Relleno de los defectos óseos verticales, con material de injerto aloblástico.

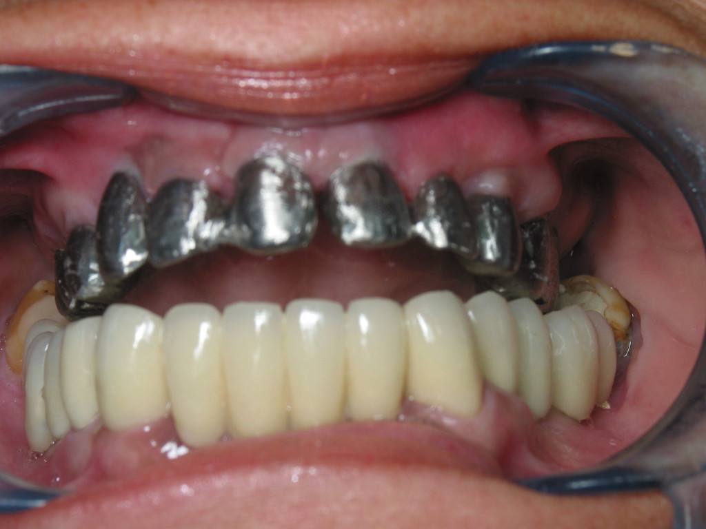
Tallado de las piezas remanentes , tratamientos endodónticos y ferulización con provisionales.

Decapaje de las manchas de melanina.

 

Maxilar inferior.

Tratamiento de la mandíbula.

Tratamiento de la enfermedad periodontal como en el maxilar.

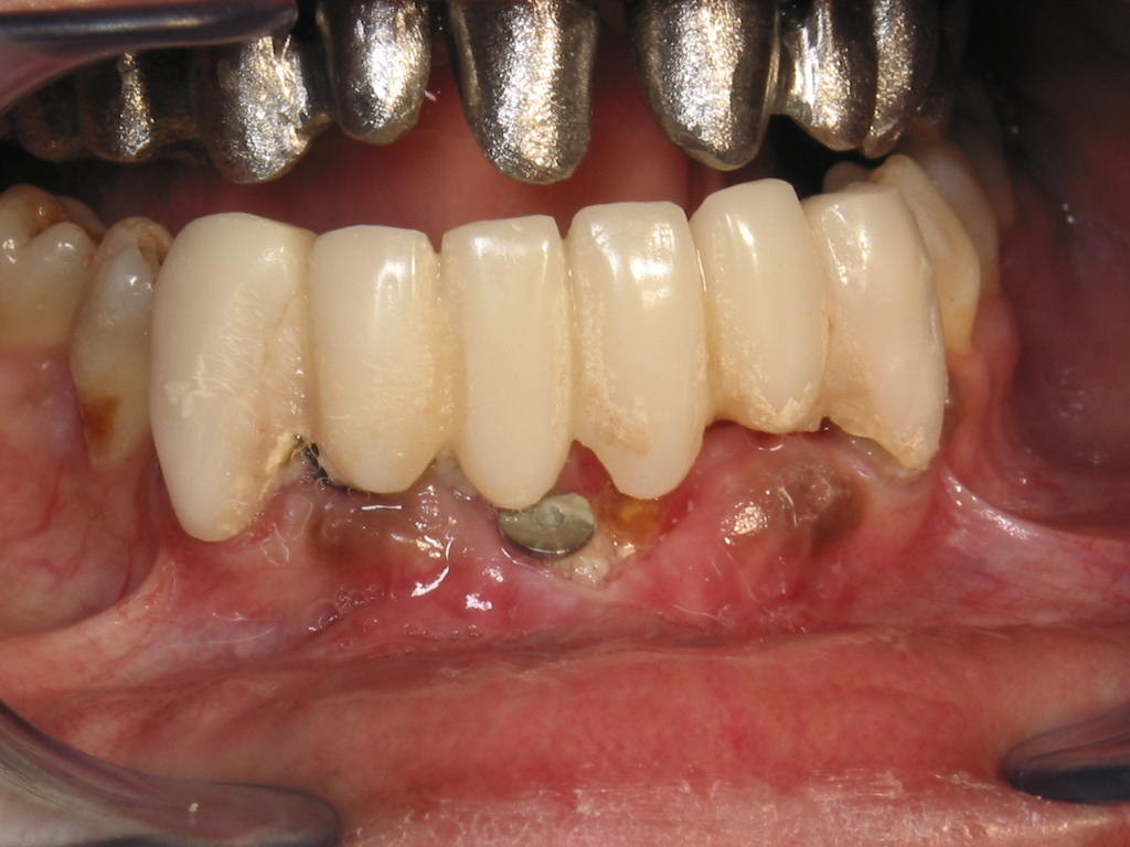
Injerto de mentón para conseguir aumento vertical y solucionar la recesión gingival. Fijación del injerto óseo con tornillo de osteosíntesis.

Provisionales, tratamientos endodónticos, ferulización con provisionales.

Prótesis definitíva en metal cerámica

 

IMPLANTES POSTEXTRACCIÓN Y CARGA INMEDIATA.

IMPLANTES SIN CIRUGÍA .IMPLANTES EN CARGA INMEDIATA.

REHABILITACIÓN ESTÉTICA COMBINADA IMPLANTES- CIRCONIO.

  • ESTUDIOS   Y PLANIFICACION EN 3D.

  • PERIODONCIA .
  •  IMPLANTÓLOGIA  POR ORDENADOR.
  • CIRUGÍA ORAL.
  • REHABILITACIÓN ORAL.
  • TRATAMIENTOS CON LASER.



AVDA FUERZAS ARMADAS 1 1.C

ALGECIRAS.ESPAÑA

garmardental@hotmail.com  

Tel: 956633030

     



Visitas

ESTÉTICA DENTAL

CIRUGÍA PLASTICA PERIODONTAL

IMPLANTES  SIN   HUESO

SEDACIÓN  CONSCIENTE

MICROSCOPÍA

ORTODONCIA INVISAILING

TECNOLOGÍA LASER

ENDODONCIA PROTÁPER

BLANQUEO DENTAL

CIRUGÍA ORAL

PATOLOGÍA DE A.T.M.

IMPLANTES

FORMACIÓN INTERNACIONAL  DE ESPECIALISTAS

INFORMACIÓN  AQUÍ.

 

ACADEMIA DE ALEJANDRÍA.

http://academiaalejandria.blogspot.com

FORMACIÓN TEÓRICA.

FORMACIÓN PRACTICA.

TECNOLOGÍA.

Arte Dental.

Tiene instalado un bloqueador de ventanas emergentes. Esta aplicación web solo puede configurarse y mostrarse correctamente si el bloqueador está desactivado.
Versión para imprimir | Mapa del sitio
© CLINICA DE ESTÉTICA DENTAL LASER.
Dr.joaquin garcia rodriguez
Página web creada con IONOS Mi Web.