CLINICA DE ESTÉTICA DENTAL LÁSER. Dr. Joaquín García Rodriguez. DR. JOAQUIN GARCÍA RODRIGUEZ
CLINICA DE ESTÉTICA DENTAL LÁSER.          Dr. Joaquín García Rodriguez.                                              DR. JOAQUIN GARCÍA RODRIGUEZ

PACIENTES ESPECIALES.

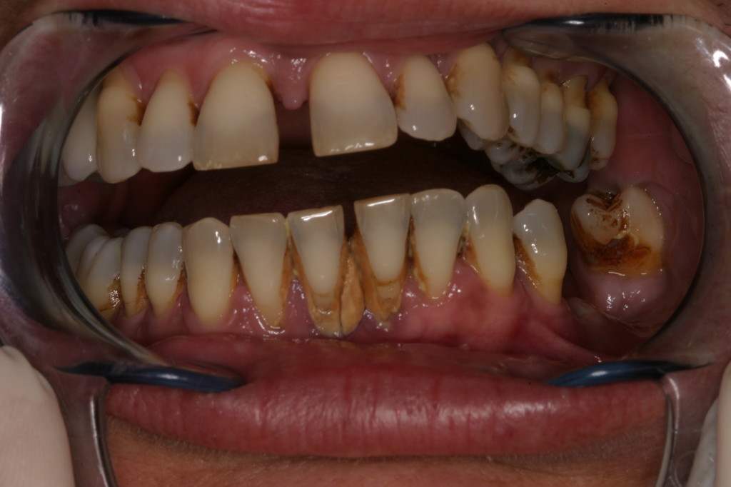
Se definen así, a los pacientes que no pueden ser rehabilitados con prótesis fija , utilizando los métodos quirúrgicos convencionales.

Como alternatíva de rehabilitación solo se  le ofrecen prótesis removibles, sobre 2, 3, 4 implantes.

Estas prótesis llamadas Sobredentaduras solo tienen una ventaja relativa, son las más económicas en principio, posteriormente  su remoción periódica durante varias veces al día para su higienización, provoca que sus componentes protéticos tengan que ser renovados  periódicamente.

El paciente sigue siendo un inválido bucal, ya que:

En las zonas posteriores de los maxilares, donde no se insertan implantes, hay que realizar periodicamente rebases, porque la falta de estímulo sigue generando reabsorción.

 

LIMITACIONES.


Anchura ósea de los maxilares inferior a 3mm, lo que impide insertar fijaciones inferiores a 3 ,75 que es el estandar de anchura en los implantes.

 

Altura ósea inferior  a 6 mm en el maxilar posterior atrófico, entre la cresta y el piso del seno.La reabsorción ósea en esta zona por la falta de dientes, se acrecienta por la presión negativa de los senos.

 

Distancia entre cresta y nervio dentario inferior a 8 mm.

Distancia entre cresta ósea y bucle del mentoniano inferior a 6 mm.

 

Presencia de quistes, dientes retenidos, espacio interoclusal reducido.Perdida de paredes óseas por fracturas.

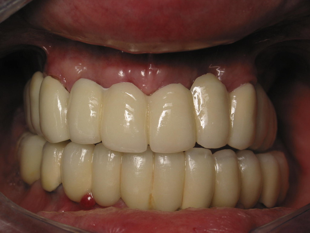
¿Es posible la rehabilitación de este tipo de casos clínicos?:

UNA FILOSOFÍA DIFERENTE. SISTEMÁTICA ESBIPRO. UNA APORTACIÓN ESPAÑOLA A LA IMPLANTOLOGÍA CONTEMPORÁNEA.

SISTEMÁTICA ESBIPRO

 



 

EXPANSIÓN DE CRESTAS INFERIOR A 3 mm DE ANCHURA.

 

ELEVACIÓN DE CRESTA  INFERIOR A 6  mm DE ALTURA.

 

IMPLANTES EN ARBOTANTES ANATÓMICOS. CANINOS PTERYGOIDEOS.

 

LATERALIZACIÓN DEL NERVIO DENTARIO Y BUCLE DEL MENTONIANO.

 

IMPLANTE EN NASOPALATINO DE SCARPA.

 

La Rehabilitación implantologíca, como las propias percepciones pueden tener dos visiones diferentes.La Sistemática Esbipro son un conjunto de técnicas que nos permiten rehabilitar a pacientes de una Una imagen con dos visiones diferentes.

TRANSPOSICIÓN DEL DENTARIO.

SINUS LIFTH.

IMPLANTES DENTALES POSTEXTRACCIÓN Y EN CARGA INMEDIATA.

IMPLANTES POSEXTRACCIÓN, ENUCLEACIÓN DE QUISTE RESIDUAL.RELLENO CON BIOMATERIALES Y CARGA INMEDIATA EN EL MISMO TIEMPO QUIRÚRGICO.

SINUS LIFTH. ELEVACIÓN SINUSAL CLÁSICA.

AUMENTOS ÓSEOS VERTICALES.

  • ESTUDIOS   Y PLANIFICACION EN 3D.

  • PERIODONCIA .
  •  IMPLANTÓLOGIA  POR ORDENADOR.
  • CIRUGÍA ORAL.
  • REHABILITACIÓN ORAL.
  • TRATAMIENTOS CON LASER.



AVDA FUERZAS ARMADAS 1 1.C

ALGECIRAS.ESPAÑA

garmardental@hotmail.com  

Tel: 956633030

     



Visitas

ESTÉTICA DENTAL

CIRUGÍA PLASTICA PERIODONTAL

IMPLANTES  SIN   HUESO

SEDACIÓN  CONSCIENTE

MICROSCOPÍA

ORTODONCIA INVISAILING

TECNOLOGÍA LASER

ENDODONCIA PROTÁPER

BLANQUEO DENTAL

CIRUGÍA ORAL

PATOLOGÍA DE A.T.M.

IMPLANTES

FORMACIÓN INTERNACIONAL  DE ESPECIALISTAS

INFORMACIÓN  AQUÍ.

 

ACADEMIA DE ALEJANDRÍA.

http://academiaalejandria.blogspot.com

FORMACIÓN TEÓRICA.

FORMACIÓN PRACTICA.

TECNOLOGÍA.

Arte Dental.

Tiene instalado un bloqueador de ventanas emergentes. Esta aplicación web solo puede configurarse y mostrarse correctamente si el bloqueador está desactivado.
Versión para imprimir | Mapa del sitio
© CLINICA DE ESTÉTICA DENTAL LASER.
Dr.joaquin garcia rodriguez
Página web creada con IONOS Mi Web.