CLINICA DE ESTÉTICA DENTAL LÁSER. Dr. Joaquín García Rodriguez. DR. JOAQUIN GARCÍA RODRIGUEZ
CLINICA DE ESTÉTICA DENTAL LÁSER.          Dr. Joaquín García Rodriguez.                                              DR. JOAQUIN GARCÍA RODRIGUEZ

LA ODONTOLOGÍA ES................ARTE.

LA EVOLUCIÓN DE LA IMPLANTOLOGÍA.

IMPLANTES DE TITANIO. CIRCONIO SOBRE TITANIO.CIRCONIO.

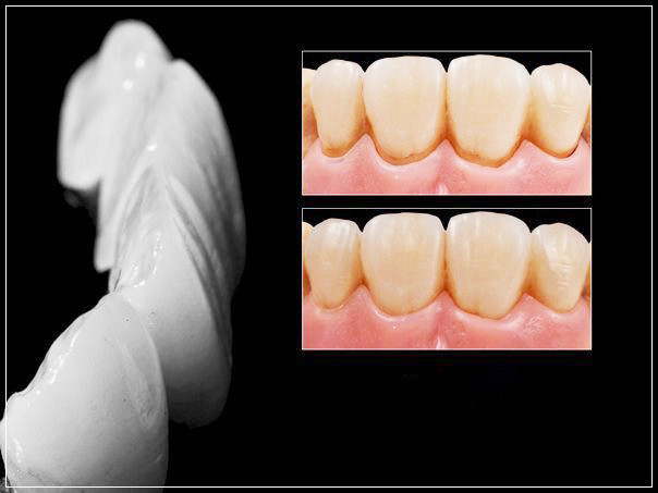
LA EVOLUCIÓN DE LA PRÓTESIS DENTAL.

DISEÑAMOS SONRISAS

Análisis Estético de la Sonrisa.




 
 

TRATAMIENTOS.



Para unos dientes sanos durante toda la vida: cubrimos un amplio espectro de la medicina dental.

 

 

 

 

 

ODONTOLOGÍA GENERAL.

Excelencia Profesional.



 

 

 

 

INCRUSTACIONES CERÁMICAS CON CIRCONIO.

Para los más exigentes ofrecemos este tipo de empastes, cuya filtración es imposible ya que se realiza por ordenador en laboratorio. El método de realización es labrar una cavidad, tomamos impresión y en laboratorio se elabora una pieza que posteriormente se nos remite para su fijación en clínica.

 

EMPASTES ESTÉTICOS CERÁMICOS.  


Desde hace 18 años nuestros empastes estan libre de materiales tóxicos como las amalgamas, cuya combinación con mercurio, produce un proceso de magnificación biológica, imposible de eliminar del medio ambiente.

En nuestros gabinetes no solo retiramos estos elementos contaminantes para el cuerpo humano, sino que nuestro compromiso con nuestra sociedad y el medio ambiente, nos obliga a mantener conciertos con empresas especializadas para la recogida y el reciclaje de estos materiales.

Tratamientos dentales para toda la família.

 

 

 

PROFILAXIS. ULTRASONIDOS Y DE BARRIDO.

Tratamiento de limpieza y blanqueamiento dental con las técnicas más novedosas como el ultrasonido y la abrasión con microblanqueantes.



INTERPRETACIÓN DE DIAGNOSTICOS EN 3 DIMENSIONES.

 

PERIODONCIA.


Tratamientos de la enfermedad Periodontal (Piorrea) desde los tratamientos más básicos como los Raspajes, curetajes y alisados radiculares. Son tratamientos que aunque se realizan con anestesia local, pudiendose realizar  por cuadrantes o por hemiarcadas completas, requieren protección antibiotica.Se realizan con Láser odontológico.

Se remueve el tártaro duro aherido al diente y el tejido de granulación enfermo.

 

Hasta Tratamientos más complejos con la utilización de  injertos óseo y menbranas, que aplicadas a la enfermedad periodontal avanzada, nos permite mantener o recuperar la perdida de hueso , la regeneración  de los tejídos blandos y mejorar los pronósticos en la movilidad dental.

 

CIRUGÍA PLASTICA PERIODONTAL.

Corrección de los defectos estéticos de los tejidos blandos,como las coloraciones oscuras de las encías, retracciones de los tejidos blandos , la tensión de los frenillos bucales, etc.



 

BLANQUEAMIENTOS CON LÁSER.


Los blanqueamientos realizados con  lamparas de luz, provocan sensibilidad dental , que puede llegar a ser insoportable. La aplicación de la tecnología Láser a  estas modalidades de  tratamientos , mejoran los postoperatorios.

 

AFTAS DENTALES, LLAGAS.


Eliminación de las llagas y aftas dentales , asi como de las consecuencias del sindrome de SJOGREEN , o sindrome de la boca seca, que se suele producir en los ancianos, por falta de salivación. El instrumento revolucionario para la eliminación de las mismas es el Láser Odontológico.


 ROMANDIBULAR.

PARESTESIAS, DISESTESIAS.ANESTESIA.


Los tratamientos quirúrgicos complejos, como el legrado de quistes,  la extracción de molares retenidos, o de restos radiculares ,pueden provocar la como complicación quirúrgica la aparición de sintomas como, el adormecimiento de la comisura labial o el mentón. Cuyo pronóstico puede mejorar sensiblemente hasta desaparecer, con la aplicación del Láser odontológico.

 

ENDODONCIA.

LLamada tambíen tratamiento de conductos.

Cuando las piezas dentales duelen, el tratamiento alternativo para  evitar la extracción dental , es una técnica cuyo micro tratamiento , consiste en la extracción del paquete vasculonervioso que interiormente tienen los dientes, para la eliminación del dolor.

El diente es el estadío anterior de un diamante, es una hidrohiapatita terciária y nadie se desprende de diamantes, ¿Porqué vas a extraer tus dientes si pueden ser tratados y mantenidos en boca?. Posterormente a la endodoncia el diente al quedar debilitado  habrá de ser reforzado con una corona cerámica.

Esta demostrado por amplios estudios científicos  realizados por la Universidad de New York que las endodoncias  en un 98% de los casos ,se colonizan con germenes de alta virulencia, llamados  Echerichia Collie, que solo son sensibles a su eliminación con la utilización del láser odontológico dentro de los conductos radiculares. Esto nos permite  mejorar los pronosticos en el tratamiento de conductos.

 

 


TRATAMIENTOS DEL DOLOR EN LA ARTICULACIÓN TEMPOROMANDIBULAR. BRUXISMO.

BIOESTIMULACIÓN.FÉRULAS DE MICHIGAN Y DESPROGRAMADORES.

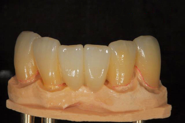
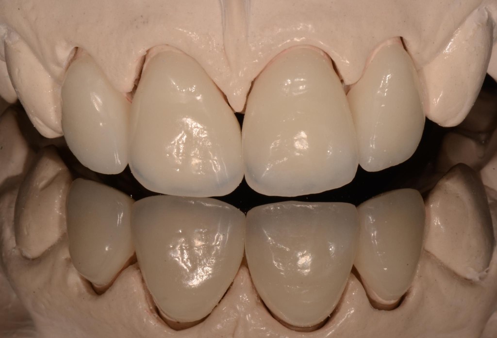
Carillas Cerámicas.

 

PRÓTESIS.


.-Prótesis removible total. Acrílico. Cerámica.

.-Prótesis removible parcial de Cromocobalto. Acrílico.

.-Esqueléticos.

.-Prótesis fija. Cerámica. Circonio.

.-Carillas Cerámicas.



CIRUGÍA ORAL.


Tratamientos de la extracciones simples de dientes y molares , de raices rotas.Esquirlas óseas.

Cirugía de dientes y molares retenidos, quistes, tumores, cálculos en los conductos glanduares, apiceptomia, eliminación de quistes en los lábios.

Remodelados óseos preprotésicos.

Tratamientos realizados con la mejor tecnología mundial en el tratamiento de los téjidos blandos y hueso:

.- Bladium. Bisturí a Resonancia cuantica molecular.

.- Piezosurgery. Bisturí para tejido duros , que corta por ultrasonidos, corta tejido duros y protege los blandos, ideal para afrontar situaciones de riesgo en la presencia de nervios y para los levantamientos de senos, cuando hay excasa altura ósea y no es posible insertar implantes, con técnicas convencionales.

.- Waterlaser. Láser de tejidos blandos, y duros.

.- Oxido Nitroso.- Anestesia por Sedación a la carta. 

ORTODONCIA. SEGUIMOS CONSTRUYENDO TU SONRISA.

ORTODONCIA INVISAILING.

 

IMPLANTES DENTALES.


  • Implantes individuales.
  • Rehabilitación ceramometálica sobre implantes, de 8 a 10 implantes.
  • Prótesis hibrida sobre implantes, de 8 a 10 implantes.
  • Sobredentadura removible sobre 4 implantes.
  • Implantes postextracción.
  • Implantes en carga inmediata, dientes e implantes en la misma sesión.

TÉCNICAS AVANZADAS.

  • Técnicas avanzadas de regeneración ósea.
  • Aumentos óseos verticales.
  • Expansión de crestas óseas extrechas.
  • Levantamientos de Senos.
  • Lateralización del nervio dentario y Bucle del mentoniano.
  • Implantes en PTERYGOIDES.


ARTE Y EXCELENCIA PROFESIONAL NUESTRA OBSESIÓN.

  • ESTUDIOS   Y PLANIFICACION EN 3D.

  • PERIODONCIA .
  •  IMPLANTÓLOGIA  POR ORDENADOR.
  • CIRUGÍA ORAL.
  • REHABILITACIÓN ORAL.
  • TRATAMIENTOS CON LASER.



AVDA FUERZAS ARMADAS 1 1.C

ALGECIRAS.ESPAÑA

garmardental@hotmail.com  

Tel: 956633030

     



Visitas

ESTÉTICA DENTAL

CIRUGÍA PLASTICA PERIODONTAL

IMPLANTES  SIN   HUESO

SEDACIÓN  CONSCIENTE

MICROSCOPÍA

ORTODONCIA INVISAILING

TECNOLOGÍA LASER

ENDODONCIA PROTÁPER

BLANQUEO DENTAL

CIRUGÍA ORAL

PATOLOGÍA DE A.T.M.

IMPLANTES

FORMACIÓN INTERNACIONAL  DE ESPECIALISTAS

INFORMACIÓN  AQUÍ.

 

ACADEMIA DE ALEJANDRÍA.

http://academiaalejandria.blogspot.com

FORMACIÓN TEÓRICA.

FORMACIÓN PRACTICA.

TECNOLOGÍA.

Arte Dental.

Tiene instalado un bloqueador de ventanas emergentes. Esta aplicación web solo puede configurarse y mostrarse correctamente si el bloqueador está desactivado.
Versión para imprimir | Mapa del sitio
© CLINICA DE ESTÉTICA DENTAL LASER.
Dr.joaquin garcia rodriguez
Página web creada con IONOS Mi Web.