CLINICA DE ESTÉTICA DENTAL LÁSER. Dr. Joaquín García Rodriguez. DR. JOAQUIN GARCÍA RODRIGUEZ
CLINICA DE ESTÉTICA DENTAL LÁSER.          Dr. Joaquín García Rodriguez.                                              DR. JOAQUIN GARCÍA RODRIGUEZ

Dr. Joaquin García Rodriguez es especialista en Periodoncia por la New York University.Curso 1993-1994. Y Director de los cursos de Cirugía avanzada de Implantes y Periodoncia en Alexandría .EGYPTO y Campinas, BRASIL.


ENFERMEDAD PERIODONTAL.



Llamamos enfermedad periodontal, Periodontitis o vulgarmente Piorrea, cuando los tejidos de sosten del diente estan afectados por una infección.

  • Los elementos fundamentales del soporte de los dientes son el ligamento periodontal, el hueso alveolar y el cemento radicular a este entramado se le llama Periodonto y a su afectación Periodontitis.
  • El inicio de la enfermedad periodontal o las alteraciones que se producen en la encía y en le periodonto pueden ser valoradas por Indices que sirven para elaborar estudios epidemiológicos estos son:
  1. Indices de placa o de higiene.
  2. Indices gingivales.
  3. Indices de hemorragia papilar.
  4. Indices periodontales.

PACIENTE CON PERIODONTITIS O PIORREA.TRATADO CON IMPLANTES.

Formas de Enfermedades Periodontales.

 

La Gingivitis  y la Periodontitis son enfermedades  condicionadas por la placa  y solo en casos excepcionales pueden ser agravadas o incluso coproducidas por otros procesos sistémicos.

 

                            ----------------------------

 

GINGIVITIS.


Es la inflamación de la encía marginal producida por bacterias.

 

Sintomas.

-Hemorragia.

-Rubefacción.

-Tumefacción.

-Ulceración.

 

Tipos de Gingivítis.

  • Gingivitis leve.
  • Gingivitis de Mediana intensidad.
  • Gingivitis grave.
  • Gingivitis ulceronecrotizante aguda.- Leve.                                                                                                          .- Grave.
  • Gingivitis moduladas hormonalmente.

                   -Gingivitis de la pubertad.

                   -Gingivitis del embarazo. Grave, épulis gravidarum.

                   -Gingivitis por anticonceptivos.

                   -Gingivitis menstrual e intermenstrual.

                   -Gingivitis climatérica.

                            ------------------------------------

 

PERIODONTITIS.

 

Es una de las enferemedades más extendidas de la especie humana, mientras que la morbilidad de la caries desciende en occidente, la enfermedad periodontal no muestra una tendencia descendente.

 

Tipos.

  1. Periodontitis del Adulto. De curso lento y progresivo.
  2. Periodontitis rapidamente progresíva. De curso rápido en el adulto joven.
  3. Periodontitis juvenil localizada de evolución rápida.
  4. Periodontitis prepuberal. De evolución rapidamente progresiva en la dentadura caduca.

Sintomas.

 

-Inflamación .gingivitis.

-Pérdida de la inserción del ligamento. Bolsa Periodontal.

-Pérdida ósea.

 

Sintomas asociados

                             - Tumefacción gingival.

                             - Actividad de la bolsa. exudado.hemorragia y pus.

                             - Abcesos de la Bolsa y de las furcaciones entre las raices.

                             - Fístulas.

                             - Retracción gingival.

                             - Movilidad dental.

                             - Pérdida dental.

                          

                               -----------------------------------------

 

 

RECESIONES GINGIVÁLES.

 

Se denomina a un proceso predominantemente morfológico que consiste en el retroceso de la encía y del hueso alveolar, que discurre clínicamente sin enflamación y casi siempre en la cara vestibular del diente, es decir por su pared externa.

 

Tipos.

  • Generalizada.
  • Localizada.

Aunque tiene un condicionante morfológico, es decir que esta producida porque los pacientes tienen una capa de hueso muy fina, hay factores que inciden en su aparición o progreso:

  1. Cepillado muy agresivo, con orientación horizontal sobre los cuellos de los dientes. Pastas de dientes muy abrasivas.
  2. Presencia de insercion de frenillos próximos , provocando la tracción de la encía móvil.
  3. Ligera inflamación crónica apenas apreciable.
  4. Tratamientos de ortodoncia  en direcciones vestibulares.
  5. Raspados periodontales muy frecuentes.

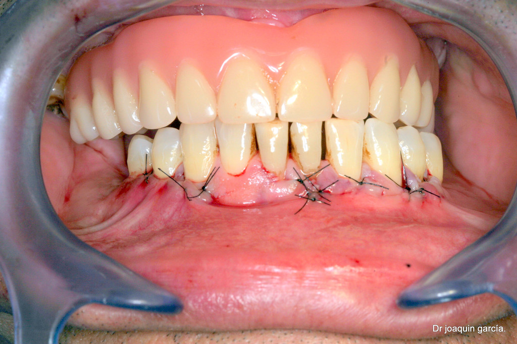
INJERTOS EN PERIODONCIA.TÉCNICAS QUIRÚRGICAS.

CASO CLÍNICO.COMO SOLUCIONAMOS LA RECESIÓN GINGIVAL.

EVOLUCIÓN DE LA ENFERMEDAD PERIODONTAL.PIORREA.

  • El signo inicial de la enfermedad periodontal, es la gingivitis, que es la inflamación de la encía que cursa con sangrado, que puede ser espontaneo o  al cepillado y que se puede agravar con las alteraciones hormonales en la mujer, o con problemas sistémicos como diabéticos o discrasias sanguineas.
  • Es conveniente realizarse diagnosticos periodicos una vez al año y que el profesional establezca el plan de tratamiento adecuado, con profilaxis.
  • La enfermedad periodontal, su gravedad va a depender de varios factores:

 .- Edad, ya que no es lo mismo una enfermedad periodontal rapidamente

    progresiva en un joven, con el riesgo de una perdida de dientes generalizada,

    que una periodontitis avanzada del adulto, cuyo pronostico es más previsible.

  .-Si es  periodontitis  generalizada o localizada, en una sola parte del

    maxilar.

  .-Del grado de movilidad, si es grado II O III,cuyo pronostico o es dudoso o es

     incompatible con  la supervivencia de las piezas.

  .-Trauma de oclusión.- Que haya perdido piezas posteriores modificando el  

     planode oclusión

 

  • Un buen diagnostico realizado por  un Periodoncista especialista en esta materia, podrá establecer un plan de tratamiento y el pronostico. Pronostico que dependerá del grado de movilidad, si es grado 1, 2 o 3,del grado de la perdida de inserción ligamentosa y ósea. Pero además del trauma de oclusión, si faltan piezas posteriores se produce una sobrecarga de los dientes anteriores que no estan preparados para soportar este tipo de cargas.

METODOS DE DIAGNOSTICO.

RADIOGRAFÍA PANORAMICA DIGITAL.

RADIOGRAFIA DIGITAL.

SONDAJE PERIODONTAL.FLORIDA PROBE .SONDA COMPUTERIZADA.

PERIODONTOGRAMA.

TÉCNICA DE CEPILLADO MANUAL.

USO DEL HILO DENTAL EN LAS TÉCNICAS DE HIGIENE DENTAL.

CIRUGÍA PLÁSTICA PERIODONTAL.INJERTOS.

INJERTO DE TEJIDO CONECTIVO.

TRATAMIENTO DE LA ENFERMEDAD PERIODONTAL AVANZADA.PERIODONTITIS.

CIRUGÍA PLÁSTICA PERIODONTAL LÁSER.

ELIMINACIÓN DE TINCIONES EN LA ENCÍA CON LÁSER. CIRUGÍA PLÁSTICA PERIODONTAL.

PLANES DE TRATAMIENTOS.

 

  • PLAN BÁSICO PERIODONTAL.

Se realizan técnicas de raspaje, curetaje y alisado radicular , consiste en limpiar el tartaro adherido al diente, quitar el tejido de  granulación enfermo y desinfectar la raiz para que cueste más trabajo que es tartaro se adhiera al diente.

Es una técnica que requiere que el paciente reciba una anestesia local, se realiza por cuadrantes y previa protección con antibioticos.

No se requiere cirugía.

Se puede practicar con laser odontológico , ultrasonidos o fresas especialmente diseñadas llamadas perioset.

 

  • PLAN PROGRAMA PERIODONTAL AVANZADO.

 

Cuando la perdida ósea es muy profunda y la movilidad es de grado avanzado se requieren otro tipo de técnicas  más complejas.

 

  •  Cirugias modificadas por la Técnica de Ramfjiord.
  •  Injertos óseos y de tejidos blandos.
  •  Frenectomías.Eliminación de frenillos que provocan diastemas , separación  de dientes.
  • Corrección de los perfiles estéticos.Gingivectomias y Gingivoplastias.
  • Melanoplacas. Manchas negras en las encias.
  • Corregir el alargamiento de las coronas con exposición de metal.
  • ESTUDIOS   Y PLANIFICACION EN 3D.

  • PERIODONCIA .
  •  IMPLANTÓLOGIA  POR ORDENADOR.
  • CIRUGÍA ORAL.
  • REHABILITACIÓN ORAL.
  • TRATAMIENTOS CON LASER.



AVDA FUERZAS ARMADAS 1 1.C

ALGECIRAS.ESPAÑA

garmardental@hotmail.com  

Tel: 956633030

     



Visitas

ESTÉTICA DENTAL

CIRUGÍA PLASTICA PERIODONTAL

IMPLANTES  SIN   HUESO

SEDACIÓN  CONSCIENTE

MICROSCOPÍA

ORTODONCIA INVISAILING

TECNOLOGÍA LASER

ENDODONCIA PROTÁPER

BLANQUEO DENTAL

CIRUGÍA ORAL

PATOLOGÍA DE A.T.M.

IMPLANTES

FORMACIÓN INTERNACIONAL  DE ESPECIALISTAS

INFORMACIÓN  AQUÍ.

 

ACADEMIA DE ALEJANDRÍA.

http://academiaalejandria.blogspot.com

FORMACIÓN TEÓRICA.

FORMACIÓN PRACTICA.

TECNOLOGÍA.

Arte Dental.

Tiene instalado un bloqueador de ventanas emergentes. Esta aplicación web solo puede configurarse y mostrarse correctamente si el bloqueador está desactivado.
Versión para imprimir | Mapa del sitio
© CLINICA DE ESTÉTICA DENTAL LASER.
Dr.joaquin garcia rodriguez
Página web creada con IONOS Mi Web.