CLINICA DE ESTÉTICA DENTAL LÁSER. Dr. Joaquín García Rodriguez. DR. JOAQUIN GARCÍA RODRIGUEZ
CLINICA DE ESTÉTICA DENTAL LÁSER.          Dr. Joaquín García Rodriguez.                                              DR. JOAQUIN GARCÍA RODRIGUEZ

UNA SONRISA AMPLIA DICE MUCHO DE TÍ.

CON UNA SONRISA AMPLIA EXPRESAMOS SENTIMIENTOS.EMOCIONES.DESEOS.FELICIDAD.

  • Fuimos pioneros en nuestro pais hace 25 años  , rehabilitando a los pacientes  desdentados parciales  o totales con implantes dentales. En carga inmediata, con implantes y dientes en el mismo dia. Planificaci;on en 3D . Implantes cpn cirug;ia guiada por ordenador.

 

  • Introdujimos técnicas de regeneración ósea y de tejidos blandos, con la utilización de los biomateriales de última generación.En pacientes que no podian ser tratados con implantes dentales con anterioridad, por falta de caudal oseo.
  • Diseñamos t;ecnicas novedosas que fueron premiadas en congresos internacionales, para afrontar situaciones limites.

 

  • Aplicamos la más novedosa tecnología para la mejora de los pronosticos en los planes de tratamiento. Láser. Bladium,Cirugía ósea piezoeléctrica. TAC.Esterilizaci;on ciclo B, Microscopia optica aplicada a la regeneraci;on de tejidos duros y blandos.

 

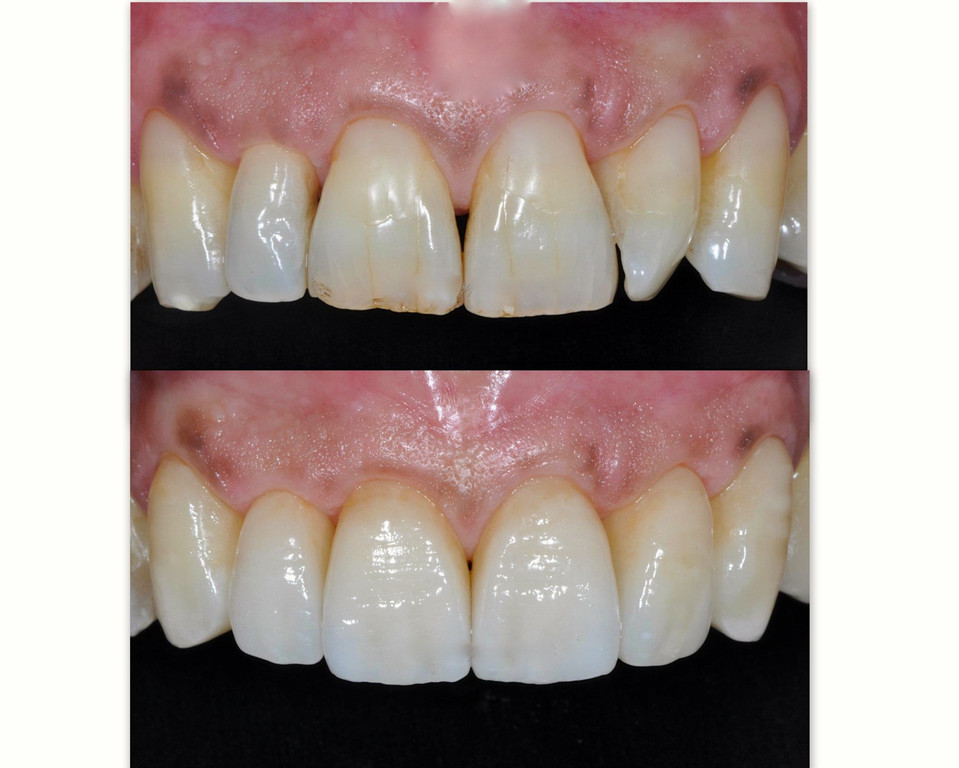
  • Dimos un salto de calidad, al plantear un concepto integrador de la estética y la función oral, dentro de la estética facial.No solo nos preocupa , la forma y tamaño de los dientes, tratamos las correcciones gingivales de las encías , con tratamientos plásticos periodontales que puedan afectar a ese elemento integrador.  Y lo conjugamos con la eliminación de las líneas verticales en las zonas peribucales, o la caída del angulo nasolabial.

 

 

 

  • ESTUDIOS   Y PLANIFICACION EN 3D.

  • PERIODONCIA .
  •  IMPLANTÓLOGIA  POR ORDENADOR.
  • CIRUGÍA ORAL.
  • REHABILITACIÓN ORAL.
  • TRATAMIENTOS CON LASER.



AVDA FUERZAS ARMADAS 1 1.C

ALGECIRAS.ESPAÑA

garmardental@hotmail.com  

Tel: 956633030

     



Visitas

ESTÉTICA DENTAL

CIRUGÍA PLASTICA PERIODONTAL

IMPLANTES  SIN   HUESO

SEDACIÓN  CONSCIENTE

MICROSCOPÍA

ORTODONCIA INVISAILING

TECNOLOGÍA LASER

ENDODONCIA PROTÁPER

BLANQUEO DENTAL

CIRUGÍA ORAL

PATOLOGÍA DE A.T.M.

IMPLANTES

FORMACIÓN INTERNACIONAL  DE ESPECIALISTAS

INFORMACIÓN  AQUÍ.

 

ACADEMIA DE ALEJANDRÍA.

http://academiaalejandria.blogspot.com

FORMACIÓN TEÓRICA.

FORMACIÓN PRACTICA.

TECNOLOGÍA.

Arte Dental.

Tiene instalado un bloqueador de ventanas emergentes. Esta aplicación web solo puede configurarse y mostrarse correctamente si el bloqueador está desactivado.
Versión para imprimir | Mapa del sitio
© CLINICA DE ESTÉTICA DENTAL LASER.
Dr.joaquin garcia rodriguez
Página web creada con IONOS Mi Web.