CLINICA DE ESTÉTICA DENTAL LÁSER. Dr. Joaquín García Rodriguez. DR. JOAQUIN GARCÍA RODRIGUEZ
CLINICA DE ESTÉTICA DENTAL LÁSER.          Dr. Joaquín García Rodriguez.                                              DR. JOAQUIN GARCÍA RODRIGUEZ

   

 

                                                                                                                                                IMPLANTES DENTALES.

 





Los implantes dentales son raices artificiales que se insertan en los maxilares y que serviran de base para sustentar una prótesis. Estan fabricados de un material que se integra no ya mecánicamente sino quimicamente con el hueso, produciendose una soldadura biológica que se refuerza con el tiempo.

 

La perdida de los dientes tienen consecuencias demoledoras para el ser humano, ya que estos inciden en la masticación , fonética y estética, pero además aceleran el proceso de envejecimiento. El hueso del maxilar por falta de estímulos de la masticación se reabsorbe, pierde anchura ósea, pierde altura y degenera su calidad.

Pasa de ser un hueso parecido a la madera de roble al hueso tipo madera de balsa, cuyo mayor contenido no es hueso sino grasa.

Aparecen lineas verticales en los labios, llamadas codigos de barras vulgarmente, el angulo nasolabial de la nariz cae, rota la mandíbula, adelantando la mandíbula al maxilar con el aspecto de barbilla de bruja.

La técnica de los implantes dentales es una de las técnicas más predecibles que se ofrecen en la odontología moderna, según todos los estudios acreditados exite un 97% de éxito y se viene realizando desde hace más de 40 años.

 

 



 

Distintas calidades Óseas.

La perdida de los dientes provoca que los maxilares se reabsorvan en sentido centripeto, el maxilar cada vez es más estrecho impidiendo en muchos casos la inserción de implantes, sino se practican técnicas más avanzadas de aumento, con relleno con biomateriales o con injertos de otras zonas del cuerpo.

Ventajas de reponer un diente perdido con un implante dental

Ofrece más ventajas sustituir un diente perdido con un implante que con unpuente dental. Al realizar un implante dental evitamos tallar los dientes vecinos, por tanto, no se producen ni debilitación, ni sobrecarga de las piezas dentales próximas.

Con el implante dental evitamos tallar los dientes que serían los pilares del puente. La fuerza de masticación se transmite sólo al implante, mientras que con un puente dicho esfuerzo se reparte entre los dientes pilares que además de soportar el suyo propio tienen que soportar el del diente ausente, resultando por tanto sobrecargados.

En la actualidad, disponemos de técnicas que nos permiten conseguir implantes dentales estéticamente perfectos.

 
 

Implante individual.

TRATAMIENTOS IMPLANTOLÓGICOS ALTERNATÍVOS.

Puente sobre Implantes para reposición de varias piezas dentárias.

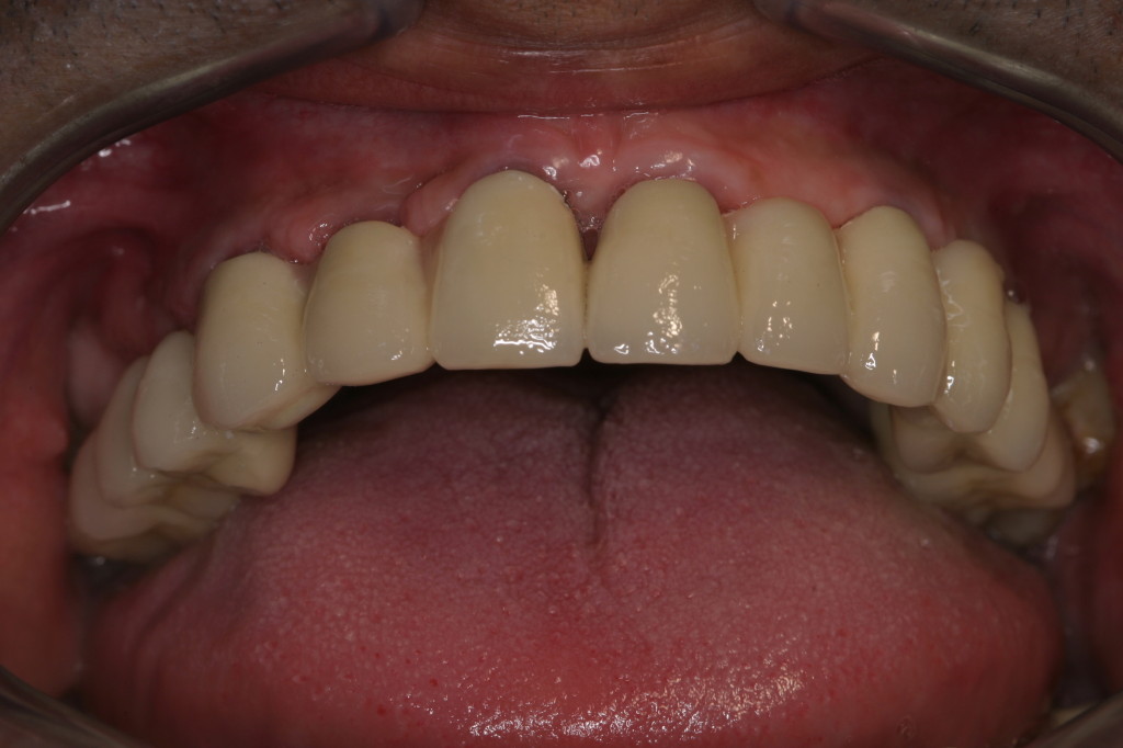
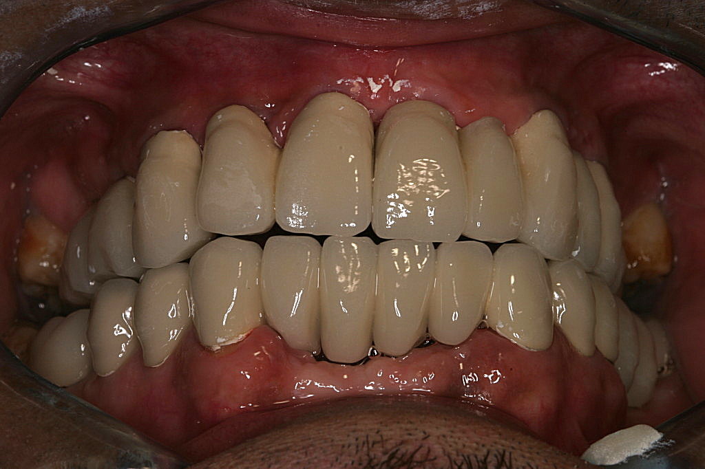
Rehabilitación Total del Maxilar Superior sobre Implantes.

CASO CLÍNICO.

MESOEXTRUCTURA.

REHABILITACIÓN CERAMOMETALICA SOBRE IMPLANTES.

REHABILITACIÓN DE AMBOS MAXILARES EXTREMADAMENTE ATRÓFICOS.

Esta paciente es una desdentada parcial del maxilar superior y del maxilar inferior, es imposible mantener las piezas dentales, ya que padecen enfermedad periodontal grado II, incompatible con su mantenimiento. 

Tiene un trauma oclusal, ya que no tiene piezas posteriores y adelanta la mordida creando una ley de palanca, ya que la acción de los molares ,lo realiza con los incisivos, que no están preparados para triturar sino para cortar

Ha perdido el angulo nasolabial, tiene arrugas verticales en el labio (código de barras) y ha rotado la mandíbula por ausencia de freno en la oclusíón.

 

Plan de tratamiento:  

Ambos maxilares.

Implantes posextracción.

Relleno de la discrepancia implante alveólo dentario con hueso.

Inserción de hueso para elevar el ángulo nasolabial.

Carga inmediata.

LO MÁS NOVEDOSO IMPLANTES DE CIRCONIO.

¿Tiene preguntas acerca de nuestros servicios?

Llámenos al +34 956633030 o contáctenos directamente mediante nuestro formulario de contacto.

 

  • ESTUDIOS   Y PLANIFICACION EN 3D.

  • PERIODONCIA .
  •  IMPLANTÓLOGIA  POR ORDENADOR.
  • CIRUGÍA ORAL.
  • REHABILITACIÓN ORAL.
  • TRATAMIENTOS CON LASER.



AVDA FUERZAS ARMADAS 1 1.C

ALGECIRAS.ESPAÑA

garmardental@hotmail.com  

Tel: 956633030

     



Visitas

ESTÉTICA DENTAL

CIRUGÍA PLASTICA PERIODONTAL

IMPLANTES  SIN   HUESO

SEDACIÓN  CONSCIENTE

MICROSCOPÍA

ORTODONCIA INVISAILING

TECNOLOGÍA LASER

ENDODONCIA PROTÁPER

BLANQUEO DENTAL

CIRUGÍA ORAL

PATOLOGÍA DE A.T.M.

IMPLANTES

FORMACIÓN INTERNACIONAL  DE ESPECIALISTAS

INFORMACIÓN  AQUÍ.

 

ACADEMIA DE ALEJANDRÍA.

http://academiaalejandria.blogspot.com

FORMACIÓN TEÓRICA.

FORMACIÓN PRACTICA.

TECNOLOGÍA.

Arte Dental.

Tiene instalado un bloqueador de ventanas emergentes. Esta aplicación web solo puede configurarse y mostrarse correctamente si el bloqueador está desactivado.
Versión para imprimir | Mapa del sitio
© CLINICA DE ESTÉTICA DENTAL LASER.
Dr.joaquin garcia rodriguez
Página web creada con IONOS Mi Web.