CLINICA DE ESTÉTICA DENTAL LÁSER. Dr. Joaquín García Rodriguez. DR. JOAQUIN GARCÍA RODRIGUEZ
CLINICA DE ESTÉTICA DENTAL LÁSER.          Dr. Joaquín García Rodriguez.                                              DR. JOAQUIN GARCÍA RODRIGUEZ

ACUERDO DE COLABORACIÓN CIENTÍFICA  ENTRE EL DR JOAQUIN GARCÍA RODRIGUEZ Y LA MULTINACIONAL SUIZA TRATE INTERNATIONAL.

Acuerdo de colaboración científica entre la Multinacional Suiza TRATE y el Dr.Joaquin García Rodriguez.Con Sergey Shulezkho gerente .

ESTUDIO REALIZADO POR EL DR. JOAQUIN GARCÍA RODRIGUEZ SELECCIONADO Y PUBLICADO POR LA ASOCIACIÓN MUNDIAL MÁS PRESTIGIOSA DE CIRUJANOS MAXILOFACIALES E.E.U.U.

ARTICULO SELECCIONADO POR LA ASSOCIATION ORAL OF MAXILOFACIAL SURGERY.

ARTICULO REALIZADO POR EL DR JOAQUIN GARCÍA RODRIGUEZ SELECCIONADO POR LA ASOCIACIÓN AMERICANA DE RECONSTRUCCIÓN CRANEOMANDIBULAR SOBRE CARGA INMEDIATA DE IMPLANTES.

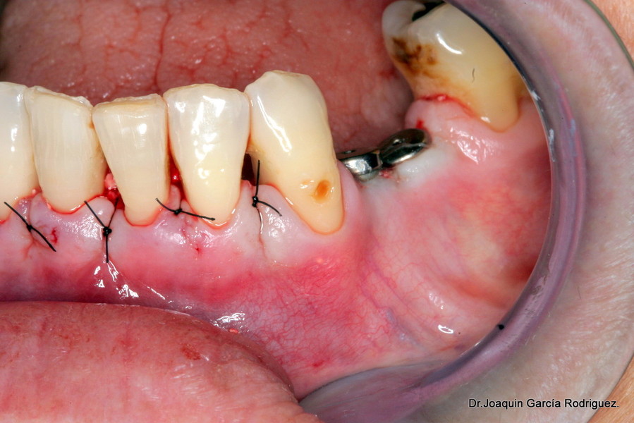
EXCELENCIA PROFESIONAL EN PACIENTE AFECTADO DE ENFERMEDAD PERIODONTAL..

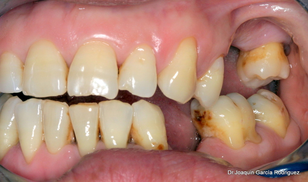
Paciente joven de 40 años, mujer, con altas exigencias estéticas, afectada de enfermedad periodontal avanzada del adulto y trauma de oclusión en el sector anterior que afecta a las piezas 11 y 21, incisivos centrales, tiene sobremordida anterior y ausencia de disclusión canína.

Este es el compromiso más importante que persigue al dentista durante toda su vida, si no consigue rehabilitar este compromiso estético, que se agrava si la paciente es amiga de su dentista y compañera de profesión.

Lo fundamental es establecer un meticuloso diagnostico, donde a través del análisis estético de la sonrisa, iniciar un plan de tratamiento de excelencia profesional que nos permita, en primer lugar eliminar la enfermedad periodontal, parar la reabsorción ósea, corregir el trauma anterior, regenerar los tejidos blandos y restablecer la función, con una prótesis estética.

En el análisis estético, analizaremos la forma de la cara, la nariz, el ángulo nasolabial, el tono de los labios, la forma de los dientes, el tamaño, la linea media, la encía si es supragingival o infragingial, el biotipo de la misma si es fino o grueso.

 

Una vez analizados los datos estableceremos un plan de tratamiento. Iniciando el plan de tratamiento periodontal, con cirugías de widman modificado por la técnica de ramfjiord, relleno de los defectos óseos, inserción de implantes y diseño de la prótesis.

En este caso nos decidimos por las coronas de circonio, ya que si se produce una recesión gingival, jamás se evidenciará el metal.

INVITACIÓN PARA PARTICIPAR COMO SPAKER EN EL 17 CONGRESO INTERNACIONAL DE IMPLANTOLOGÍA CELEBRADO EN ALEJANDRIÁ.

MIS DIENTES SE MUEVEN.MI PROBLEMA TIENE SOLUCIÓN.

  • TE SANGRAN LAS ENCIAS?.
  • TUS DIENTES TE DUELEN?.
  • SE HACEN CADA VEZ MÁS LARGOS Y SE VAN SALIENDO DEL HUESO?.
  • TIENES MOVILIDAD DENTAL?.
  • TU ALIENTO ES INSOPORTABLE PAR TÍ Y PARA LOS QUE TE RODEAN?.
  • TIENES MIEDO AL DENTISTA? O TERROR  A QUEDARTE SIN DIENTES?.

SUFRES UNA ENFERMEDAD PERIODONTAL QUE  VULGARMENTE LLAMAMOS "PIORREA".

 

TU PROBLEMA TIENE SOLUCIÓN Y NOSOTROS  PODEMOS OFRECERTELA. CON LA ÚLTIMA TECNOLOGÍA LÁSER.



 



QUIERO PONERME IMPLANTES Y NO TENGO HUESO.TENGO SOLUCIÓN?.

SI.....CON LA REGENERACIÓN ÓSEA Y DE TEJIDOS CON LOS MÁS AVANZÁDOS BIOMATERIALES.

CASO CLÍNICO.REGENERACIÓN ÓSEA.

Sin desplazamientos. Sin sorpresas, siempre el mismo equipo despúes de 25 años.Con profesionalidad . Tecnología Láser , Cirugía ósea piezoeléctrica y Resonancia Cuántica Molecular.Estudios y planificación de cirugía guiada por 3D.

REGENERACIÓN ÓSEA.

FORMAMOS A ESPECIALISTAS EN IMPLANTOLOGÍA AVANZADA DESDE HACE MÁS DE 22 AÑOS.ALEXANDRÍA(EGYPT).CAMPINAS BRASIL.

  • ESTUDIOS   Y PLANIFICACION EN 3D.

  • PERIODONCIA .
  •  IMPLANTÓLOGIA  POR ORDENADOR.
  • CIRUGÍA ORAL.
  • REHABILITACIÓN ORAL.
  • TRATAMIENTOS CON LASER.



AVDA FUERZAS ARMADAS 1 1.C

ALGECIRAS.ESPAÑA

garmardental@hotmail.com  

Tel: 956633030

     



Visitas

ESTÉTICA DENTAL

CIRUGÍA PLASTICA PERIODONTAL

IMPLANTES  SIN   HUESO

SEDACIÓN  CONSCIENTE

MICROSCOPÍA

ORTODONCIA INVISAILING

TECNOLOGÍA LASER

ENDODONCIA PROTÁPER

BLANQUEO DENTAL

CIRUGÍA ORAL

PATOLOGÍA DE A.T.M.

IMPLANTES

FORMACIÓN INTERNACIONAL  DE ESPECIALISTAS

INFORMACIÓN  AQUÍ.

 

ACADEMIA DE ALEJANDRÍA.

http://academiaalejandria.blogspot.com

FORMACIÓN TEÓRICA.

FORMACIÓN PRACTICA.

TECNOLOGÍA.

Arte Dental.

Tiene instalado un bloqueador de ventanas emergentes. Esta aplicación web solo puede configurarse y mostrarse correctamente si el bloqueador está desactivado.
Versión para imprimir | Mapa del sitio
© CLINICA DE ESTÉTICA DENTAL LASER.
Dr.joaquin garcia rodriguez
Página web creada con IONOS Mi Web.