CLINICA DE ESTÉTICA DENTAL LÁSER. Dr. Joaquín García Rodriguez. DR. JOAQUIN GARCÍA RODRIGUEZ
CLINICA DE ESTÉTICA DENTAL LÁSER.          Dr. Joaquín García Rodriguez.                                              DR. JOAQUIN GARCÍA RODRIGUEZ

IMPLANTOLOGIA DE AUTOR.CUANDO LA IMPLANTOLOGÍA............. ES ARTE.

LO MÁS NOVEDOSO.

REHABILITACIONES IMPLANTOSOPORTADAS CON CIRCONIO.

  •  IMPLANTES DE CIRCONIO. IMPLANTES SIN METAL.PERSONAS ALÉRGICAS A LOS METÁLES.

 

CIRCONIO LA IMPLANTOLOGÍA SIN METAL.

REHABILITACIONES DESDENTADOS TOTALES CON IMPLANTES Y PRÓTESIS HÍBRIDAS.

REHABILITACIONES CON CIRCONIO SIN METAL.

 

 

REHABILITACIÓN CON PRÓTESIS DE CIRCÓNIO SOBRE IMPLANTES.

QUE NOS DIFERENCIA DE LAS FRANQUICIAS DENTALES. LA ODONTOLOGÍA ES.....ARTE.

 

  • SOMOS UN CENTRO DENTAL ALTAMENTE ESPECIALIZADO CON UNA EXPERIENCIA CLÍNICA  DE MÁS DE 20 AÑOS. DEDICADOS EN EXCLUSIVA A REHABILITAR A DESDENTADOS TOTALES Y PARCIALES.INVÁLIDOS BUCÁLES CON IMPLANTES DENTALES.



 

  • SIN DESPLAZAMIENTOS A OTRA CIUDAD PARA OBTENER TRATAMIENTOS DE EXCELENCIA PROFESIONAL.TUS REVISIONES Y COMPLICACIONES A POCA DISTANCIA.

 

  • FORMACIÓN  COMO ESPECIALISTA EN LAS MEJORES UNIVERSIDADES DE ESTADOS UNIDOS EN PERIODÓNCIA E IMPLANTES  EN LAS . NEW YORK UNIVERSITY 1ªPROMOCIÓN.1993-94. Y EN LA UNIVERSIDAD ESTATAL DE LOUSIANA NUEVA ORLEANS.1995.

 

                                     

  • INVENTOR DE LA TÉCNICA ESBIPRO.PARA REHABILITAR MAXILARES ATRÓFICOS. PREMIADA EN CONGRESOS INTERNACIONALES DE LA ESPECIALIDAD Y DE LOS EXPANSORES DE HUESO ROSCADOS, QUE PERMITEN INSERTAR IMPLANTES EN SITUACIONES DE ALTA COMPLEJIDAD.

 

 

  • ES UNO DE LOS PROFESIONALES CON MAYOR ACREDITACIÓN INTERNACIONAL DE NUESTRO PAÍS, EN LA FORMACIÓN DE ESPECIALISTAS , AREAS DE  PERIODONCIA Y CIRUGÍA BUCAL Y TÉCNICAS AVANZADAS DE  IMPLANTES.EN ALEXANDRÍA(EGYPTO) CASCAIS(PORTUGAL), CAMPINAS(BRASIL),SANTO DOMINGO(REPÚBLICA DOMINICANA).

 

  • HA DIRIGIDO MÁS DE 21 CURSOS INTERNACIONALES Y FORMADO A MÁS DE 450 ESPECIALISTAS TANTO ESPAÑOLES COMO EXTRANJEROS.

 

  • SOLUCIONAMOS LAS COMPLICACIONES DE TRATAMIENTOS REALIZADOS EN OTROS CENTROS CON PROFESIONALIDAD, EFICÁCIA Y COMPAÑERISMO.COMIENZAS Y TERMINAS EL TRATAMIENTO CON EL MISMO ESPECIALISTA. Y SIEMPRE CON UN TRATO PERSONALIZADO Y DISTINGUIDO.

 

  • NINGÚN PACIENTE  HA SIDO REMITIDO A OTRO ESPECIALISTA PARA SER TRATADO POR MUY COMPLEJO QUE HAYA SIDO SU PLAN DE TRATAMIENTO.

 

FALTA DE HUESO EN ALTURA Y EN ANCHURA.ATRÓFIA EXTREMA DEL MAXILAR SUPERIOR.

 

     TECNOLOGÍA.

 

  • LÁSER ODONTOLÓGICO.WATERLASE.
  • LASER DE TEJÍDOS BLANDOS.BIOLASE.
  • CIRUGÍA ÓSEA PIEZOELÉCTRICA(PIEZOSURGERY).
  • BISTURÍ A RESONANCIA CUÁNTICA MOLECULAR(BLADIUM).
  • ANESTÉSIA POR SEDACIÓN (OXIDO NITROSO).
  • RADIOGRAFÍA COMPUTERIZADA.
  • ESTERILIZACIÓN POR CICLO B ELIMINACIÓN COMPLETA DE     MICROORGANISMOS DE ENFERMEDADES TRANSMISIBLES.SIN PELIGRO DE  V.I.H  y  HEPATÍTIS.

 

                                 METODOLOGÍA DE TRABAJO.

 

  • PACIENTES CON DIENTES E IMPLANTES EN UNA MISMA SESIÓN, EL MISMO    DÍA DE LA INTERVENCIÓN.CARGA INMEDIATA.
  • REHABILITACIÓN RÁPIDA DE PACIENTES EN UNA O DOS SESIONES.
  •  REHABILITAMOS POR CUADRANTES EN LA MISMA SESIÓN. TRATAMIENTOS  PERIODONTALES Y OBTURACIONES CON EMPASTES.
  •  REVOLUCIONARIAS TÉCNICAS DE CRECIMIENTO ÓSEO Y DE TEJIDOS  BLANDOS.
  • CIRUGÍA PLASTICA PERIODONTAL.
  • MAS DE 8000 REHABILITACIONES TOTALES DE PACIENTES DESDENTADOS.

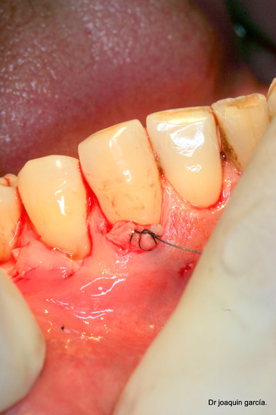
CIRUGÍA PLÁSTICA PERIODONTAL.

Retracción gingival clase I de Atkins y Sullivans, largas y estrechas, producidas por técnicas de cepillado incorrectas, pasta de dientes abrasivas y cepillos dentales de consistencia dura.

Normalmente se producen en Biotípos Gingivales finos con ausencia de encía insertada queratinizada , muchas bridas o frenillos o tensión de la encía libre.

 

 


Plan de Tratamiento. 

Dos alternativas:

Injerto conectivo de la  zona donante de paladar.

Injerto con membrana dérmica.



MANCHAS EN LAS ENCIAS.CORRECCIÓN DE MELANOPLACAS EN LA ENCÍA E INJERTO DE CONECTIVO EN RECESIÓN GINGIVAL.

REMODELADO GINGIVAL CON LÁSER ODONTOLÓGICO.

CIRUGÍA PLÁSTICA PERIODONTAL PARA LA ELIMINACIÓN DE MANCHAS EN LA ENCÍA(MELANOPLACAS).

EXCELÉNCIA ESTÉTICA EN EL SECTOR ANTERIOR.

IMPLANTES POSEXTRACCIÓN EN EL SECTOR DE LA PREMAXILA.

  • ESTUDIOS   Y PLANIFICACION EN 3D.

  • PERIODONCIA .
  •  IMPLANTÓLOGIA  POR ORDENADOR.
  • CIRUGÍA ORAL.
  • REHABILITACIÓN ORAL.
  • TRATAMIENTOS CON LASER.



AVDA FUERZAS ARMADAS 1 1.C

ALGECIRAS.ESPAÑA

garmardental@hotmail.com  

Tel: 956633030

     



Visitas

ESTÉTICA DENTAL

CIRUGÍA PLASTICA PERIODONTAL

IMPLANTES  SIN   HUESO

SEDACIÓN  CONSCIENTE

MICROSCOPÍA

ORTODONCIA INVISAILING

TECNOLOGÍA LASER

ENDODONCIA PROTÁPER

BLANQUEO DENTAL

CIRUGÍA ORAL

PATOLOGÍA DE A.T.M.

IMPLANTES

FORMACIÓN INTERNACIONAL  DE ESPECIALISTAS

INFORMACIÓN  AQUÍ.

 

ACADEMIA DE ALEJANDRÍA.

http://academiaalejandria.blogspot.com

FORMACIÓN TEÓRICA.

FORMACIÓN PRACTICA.

TECNOLOGÍA.

Arte Dental.

Tiene instalado un bloqueador de ventanas emergentes. Esta aplicación web solo puede configurarse y mostrarse correctamente si el bloqueador está desactivado.
Versión para imprimir | Mapa del sitio
© CLINICA DE ESTÉTICA DENTAL LASER.
Dr.joaquin garcia rodriguez
Página web creada con IONOS Mi Web.