CLINICA DE ESTÉTICA DENTAL LÁSER. Dr. Joaquín García Rodriguez. DR. JOAQUIN GARCÍA RODRIGUEZ
CLINICA DE ESTÉTICA DENTAL LÁSER.          Dr. Joaquín García Rodriguez.                                              DR. JOAQUIN GARCÍA RODRIGUEZ

DISEÑO DE LA SONRISA.. LA CUARTA DIMENSIÓN DE LA ODONTOLOGÍA..

"Por envejecer no se deja de reir; pero dejar de reir te hace envejecer" (Balzac)

LO QUE NO GASTAMOS EN PUBLICIDAD LO DEDICAMOS A LA BUSQUEDA DE LA EXCELENCIA PROFESIONAL.

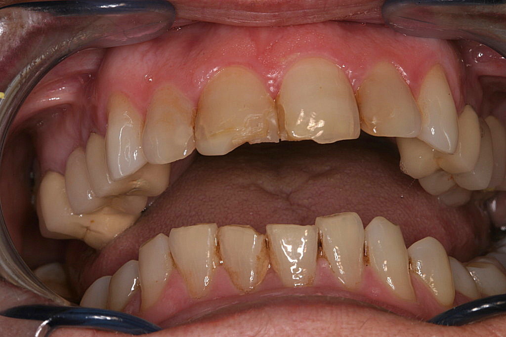
PLANIFICACIÓN. ANÁLISIS DE LA SITUACIÓN DE PARTIDA.

NUESTRA JOYA REHABILITACIÓN ESTÉTICA DE CIRCONIO SOBRE IMPLANTES.EXCELENCIA PROFESIONAL.

LA EXCELENCIA PROFESIONAL NUESTRA RAZÓN DE SER. EL CIRCONIO UNA NUEVA DIMENSIÓN.

CORRECCIÓN ESTÉTICA DE UN DEFECTO ANTERIOR.CIERRE DE UN DIASTEMA.

CARILLAS CERÁMICAS.

IMPLANTES INDIVIDUALES. Y PUENTE DE TRES PIEZAS SOBRE DOS IMPLANTES.

ENFERMEDAD PERIODONTAL. REHABILITACION CERÁMICA.

TRATAMIENTO DE LA ENFERMEDAD PERIODONTAL. PIORREA.

TRATAMIENTO DE DESDENTADO PARCIAL MAXILAR SUPERIOR.

REHABILITACIÓN DEL MAXILAR SUPERIOR CON IMPLANTES.ENFERMEDAD PERIODONTAL.

Rehabilitación Estética con implantes dentales en Maxilar Superior.

  • ESTUDIOS   Y PLANIFICACION EN 3D.

  • PERIODONCIA .
  •  IMPLANTÓLOGIA  POR ORDENADOR.
  • CIRUGÍA ORAL.
  • REHABILITACIÓN ORAL.
  • TRATAMIENTOS CON LASER.



AVDA FUERZAS ARMADAS 1 1.C

ALGECIRAS.ESPAÑA

garmardental@hotmail.com  

Tel: 956633030

     



Visitas

ESTÉTICA DENTAL

CIRUGÍA PLASTICA PERIODONTAL

IMPLANTES  SIN   HUESO

SEDACIÓN  CONSCIENTE

MICROSCOPÍA

ORTODONCIA INVISAILING

TECNOLOGÍA LASER

ENDODONCIA PROTÁPER

BLANQUEO DENTAL

CIRUGÍA ORAL

PATOLOGÍA DE A.T.M.

IMPLANTES

FORMACIÓN INTERNACIONAL  DE ESPECIALISTAS

INFORMACIÓN  AQUÍ.

 

ACADEMIA DE ALEJANDRÍA.

http://academiaalejandria.blogspot.com

FORMACIÓN TEÓRICA.

FORMACIÓN PRACTICA.

TECNOLOGÍA.

Arte Dental.

Tiene instalado un bloqueador de ventanas emergentes. Esta aplicación web solo puede configurarse y mostrarse correctamente si el bloqueador está desactivado.
Versión para imprimir | Mapa del sitio
© CLINICA DE ESTÉTICA DENTAL LASER.
Dr.joaquin garcia rodriguez
Página web creada con IONOS Mi Web.